RayBiotech抗体芯片在PM2.5对炎症影响研究的应用
杂志名称:Redox Biology
文献题目:Ryu Y S, Kang K A, Piao MJ, et al. Particulate matter induces inflammatory cytokine production viaactivation of NFκB by TLR5-NOX4-ROS signaling in human skin keratinocyte andmouse skin[J]. Redox biology, 2019, 21: 101080.
第一作者:Yea Seong Ryu
通讯作者:Jin Won Hyun
作者单位:Department of Biochemistry,Jeju National University School of Medicine, Jeju 63243, Republic of Korea
本实验所用产品:AAH-CYT-5
实验样品:细胞培养上清
研究背景:
环境空气污染已成为全球主要问题; 特别是PM2.5对健康构成威胁。许多报道已经证明,含有多环芳烃的PM可以引发呼吸系统的炎症反应,并可能导致全身炎症反应。人体皮肤是防止空气污染物的第一道防线。然而,关于PM2.5对皮肤的炎症作用及其潜在机制的研究是有限的。通过调节效应细胞因子和其他炎症介质,局部先天免疫在启动和协调体内平衡和对外来颗粒或病原体感染的抵抗中起着关键作用。 Toll样受体(TLRs)已被确定为关键的免疫受体;在病原体检测后,它们通过调节基因表达介导先天性和适应性免疫应答的激活。据报道,人角质形成细胞组成型表达TLR1,TLR2,TLR3,TLR4,TLR5,TLR6和TLR9 。皮肤细胞的角质形成细胞通过在TLR接合后产生趋化因子而在免疫应答中发挥重要作用。这些趋化因子反过来刺激白细胞向损伤或感染部位的迁移。 TLRs特异性识别高度保守的病原体相关基序:三酰基脂肽被TLR1-TLR2异二聚体识别,二酰基脂肽被TLR2-TLR6异二聚体识别,双链RNA被TLR3识别,脂多糖被TLR4识别,鞭毛蛋白被TLR5识别。
最近的研究表明TLR激活与NADPH氧化酶(NOX)同工酶(NOX1-5和DUOX1,2)在先天免疫(炎症)反应中的活性之间存在分子联系,这表明NOX激活在TLR介导的炎症反应中是必不可少的。最近,研究人员报道了用透射电子显微镜观察到的HaCaT角质形成细胞可以内化PM2.5。在这项研究中,发现内化的PM2.5引发氧化应激,并且暴露于PM2.5的小鼠皮肤在表皮中经历了大的结构变化,强烈暗示PM2.5可以穿透表面皮肤层。在本研究中,在体外和体内研究了与炎症和氧化应激相关的生物标志物,以阐明PM2.5诱导的皮肤炎症以及TLR信号传导和表观遗传改变方面的潜在机制。

1 结果
1.1 PM2.5刺激人角质形成细胞中的促炎作用
为了检测人角质形成细胞中促炎细胞因子的产生,使用Raybio细胞因子抗体芯评估在PM2.5刺激后3小时和24小时培养的HaCaT细胞的上清液。该测定显示,与对照细胞相比,在PM2.5处理的HaCaT细胞中3小时,6种细胞因子IL-6,MDC,MIP-1β,EGF,IGF-1和MIF强烈上调,而5种细胞因子,IL与对照细胞相比,在PM2.5处理的HaCaT细胞中,在24小时,-1β,IL6,IL-8,IL-16和TGF-β2被强烈上调(图1A)。在HaCaT,HEK 001角质形成细胞系和(NHEK)以及小鼠中暴露于PM2.5时,证实促炎细胞因子IL-1β和IL-6的水平增加。表皮(图1C和D)。研究人员选择IL-6作为PM2.5诱导的炎症的主要介质进行进一步研究。在PM2.5暴露HaCaT细胞后3小时和72小时之间诱导IL-6mRNA表达(图1E)。与RT-PCR结果完全一致,WB显示在HaCaT,HEK-001和NHEK细胞中明显诱导IL-6蛋白(图1F)。

1.2 PM2.5早期激活TLR5并诱导人体内IL-6的释放
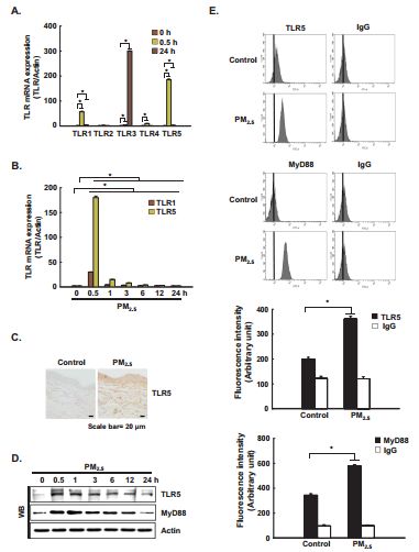
研究人员分析了PM2.5是否能诱导角质形成细胞中各种TLR的基因表达。将HaCaT细胞与PM2.5一起孵育0.5小时或24小时,并通过定量RT-PCR(qRT-PCR)分析TLR基因表达。 PM2.5处理诱导TLR1和TLR5在0.5小时和TLR3在24小时的表达显着增加(图2A)。TLR5在0.5小时高表达,并且与TLR3相比维持长达24小时。此外,与TLR1相比,TLR5在0.5小时和24小时高表达(图2B)。 HaCaT细胞中TLR5的mRNA表达模式与鼠表皮中的蛋白质表达(图2C)和HaCaT细胞中的蛋白质表达一致(图2D)。此外,使用流式细胞术确认了在HaCaT细胞中PM2.5处理后0.5小时TLR5的表达模式(图2E)。

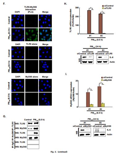
TLR募集含有Toll / IL-1受体的衔接子的特定组合,包括MyD88。如图2D和E所示,MyD88蛋白表达与TLR5蛋白表达一致。此外,邻近连接测定(PLA)和免疫沉淀(IP)-WB分析显示,与PM2.5处理的细胞相比,TLR5与PM2.5处理的细胞中的MyD88强烈相互作用,表明可能诱导下游信号传导(图.2F和G)。为了测试在PM2.5处理的人角质形成细胞中TLR5是否介导IL-6产生,用对TLR5或MyD88特异的siRNA转染HaCaT细胞,并通过蛋白质印迹测定法分析IL-6表达。在用TLR5或MyD88 siRNA转染的HaCaT细胞中消除IL-6表达(图2H和1)。

1.3 PM2.5诱导TLR5-NFκB-IL-6途径
为了研究PM2.5是否与TLR5和/或MyD88结合,我们使用HaCaT细胞进行药物亲和力响应性靶稳定性(DARTS)测定。 DARTS测定基于以下原理:配体与其受体的结合导致热力学更稳定的状态,其中对蛋白酶降解的抗性显着增加。为了测试PM2.5与TLR5的相互作用,将来自HaCaT细胞的裂解物与PM2.5或鞭毛蛋白(FL,阳性对照)一起温育。使用TLR5特异性抗体对链霉蛋白酶消化的细胞裂解物进行WB。如图3A所示,与对照1:20,000-1:2500链霉蛋白酶处理相比,用PM2.5和鞭毛蛋白预处理的细胞裂解物中TLR5的蛋白酶敏感性明显降低,其分子量约为103kDa。这些观察结果表明PM2.5通过与TLR5结合促进IL-6的产生。此外,当我们评估PM2.5与MyD88的相互作用时,MyD88(约33kDa)与PM2.5和鞭毛蛋白没有显着的相互作用(图3A)。这些观察结果表明PM2.5通过与TLR5结合而不是与MyD88结合而促进IL-6的产生。为了评估TLR5是否可以激活经典NFκB途径以诱导IL-6,我们在指定的时间点检测到NFκBp65亚基的磷酸化。如图3B所示,磷酸化NFκBp65在用PM2.5处理后0.5小时和24小时之间表达。此外,磷酸化NFκBp65亚基在PM2.5存在下3小时转移到细胞核中并与IL-6的启动子区结合(图3C和D)。用对NFκBp65特异的siRNA转染HaCaT细胞通过PM2.5处理抑制IL-6的增加(图3E)。此外,用TLR5或MyD88特异性siRNA转染通过PM2.5处理减少磷酸化NFκBp65表达的增加,导致IL-6表达降低(图3F和G)。

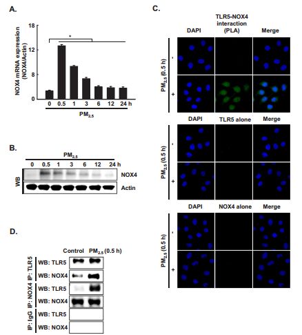
1.4 PM2.5激活TLR5和NOX4相互作用并诱导人角质形成细胞中的ROS产生
在目前的研究中,在PM2.5处理后0.5小时和24小时之间NOX4 mRNA和蛋白质的表达增加(图4A和B)。此外,与未处理的细胞相比,TLR5在PM2.5处理的细胞中与NOX4在0.5小时强烈相互作用,如PLA测定和IP-WB分析所示(图4C和D)。

此外,在用对NOX4特异的siRNA转染的HaCaT细胞中,PM2.5处理引起的IL-6的增加受到抑制(图4E)。在PM2.5存在下TLR5和NOX4的相互作用导致0.5小时的ROS增加,而这种反应被众所周知的抗氧化剂N-乙酰半胱氨酸(NAC)减弱(图4F)。
1.5 NFκB-IL-6途径由PM2.5-TLR5介导的氧化应激介导
为了更好地理解ROS在TLR5介导的NFκB活化和IL-6合成中的重要性,用对NOX4特异的siRNA转染HaCaT细胞。 转染的细胞显示磷酸化NFκBp65亚基的蛋白质表达降低(图5A)。 此外,与对照相比,NAC预处理在PM2.5处理的HaCaT细胞中3小时抑制磷酸化NFκBp65的增加(图5B),导致IL-6的产生减少(图5C)。 此外,在PM2.5处理的小鼠的皮肤中,磷酸化NFκBp65和IL-6的蛋白质表达增加,而PM2.5处理的小鼠的NAC预处理减少了这些反应(图5D和E)。 因此,PM2.5通过ROS依赖性,TLR5启动的NFkB信号传导途径的激活诱导皮肤细胞炎症,导致IL-6表达。

在用TLR5或NOX4特异性siRNA转染的HaCaT细胞中,PM2.5处理引起的ROS增加受到抑制。然而,siRNA介导的TLR5沉默不影响NOX4表达。此外,为了测试在PM2.5处理的人角质形成细胞中诱导的其他TLR是否影响ROS-NFκB-IL-6途径,用TLR1,TLR3和TLR4特异性siRNA转染细胞。研究人员发现在用siTLR1,siTLR3和siTLR4RNA转染的HaCaT细胞中ROS水平和磷酸化NFκB和IL-6表达被消除。
结论:
本研究表明,TLR5和MyD88依赖性信号传导对于响应PM2.5的IL-6产生是必需的,因为靶向TLR5或其相关衔接子MyD88的siRNA阻止了这种反应。此外,TLR5-MyD88下游的NFκB信号通路被PM2.5诱导诱导IL-6;靶向TLR5或MyD88的siRNA阻止NFκB信号传导,并导致IL-6表达降低。根据这些发现,我们得出结论,PM2.5与TLR5的结合通过MyD88启动细胞内信号传导,并且这种TLR5和MyD88信号传导导致下游激酶的活化,导致游离NFκB易位至细胞核,在那里它与细胞核结合。 IL-6的启动子区。PM2.5在野生型小鼠和片状尾巴小鼠中激活炎症途径(TLR5-NOX4-NFκB-IL6),表明PM2.5依赖性炎症可引起发展和恶化。
据研究人员所知,这是第一份证实PM2.5与TLR5信号通路之间联系的报告; TLR5-NOX4-ROS-NFκBIL-6途径在介导PM2.5诱导的炎症中起重要作用。靶向皮肤角质形成细胞中的TLR5-NOX4级联可能是减轻PM2.5的有害作用的治疗策略。

做芯片,找RayBio!


